Mielografia e Mielo-TC per il paziente
Guida al Paziente
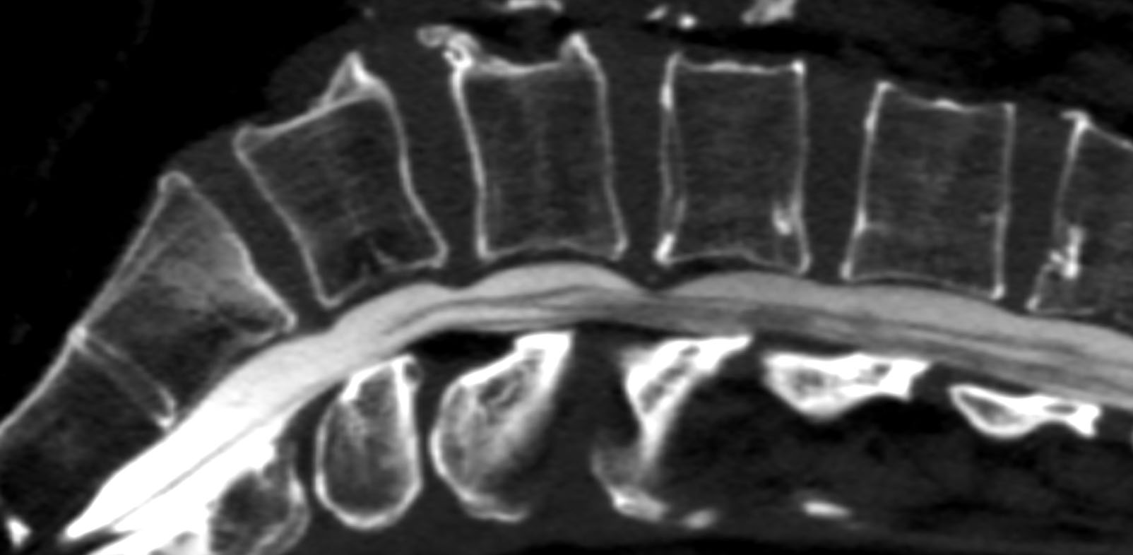
Prima dell'avvento della risonanza magnetica, lo studio tramite mielografia rappresentava l'unico metodo per poter visualizzare direttamente il canale spinale contenuto nello scheletro osseo della colonna vertebrale. Il concetto che sta alla base di questa procedura è l'introduzione, mediante puntura diretta, di un mezzo di contrasto specifico all'interno degli spazi subaracnoidei perimidollari o del sacco durale. In questo modo è possibile visualizzare questi spazi che sono normalmente riempiti di liquido e normalmente non direttamente visibili ai raggi-x. La metodica tradizionale con controlli radiografici e radioscopici viene ulteriormente migliorata dalla possibilità di effettuare una scansione TAC o TC dopo l'introduzione del farmaco: grazie alle apparecchiature attuali è cosi possibile effettuare studi ad altissima risoluzione sul sacco durale , il contenente e il contenuto, in particolare sulle radici nervose e le emergenze delle stesse.

INDICAZIONI ALL'ESAME
Data l'invasività (utilizzo di raggi-x ma soprattutto la puntura diretta del sacco durale), questa procedura viene utilizzata esclusivamente in casi selezionati e solo se le informazioni ricercate non sono ottenibili con le altre metodiche disponibili.
Volendo riassumere le principali indicazioni all'esame potremo stilare la seguente lista:
- Incompatibilità all'esame RM (grave claustrofobia, elettrostimolatori, schegge, ecc...)
- Ricerca di fistole durali, con perdita di liquido cefalorachidiano
- Necessità di ottenere informazioni in posizione eretta e durante movimento del paziente
- Necessità di ottenere informazioni dinamiche del flusso che caratterizza il fluido cerebrospinale
- Studi di avulsioni radicolari post-traumatiche
- Studi differenziali tra cisti o meningocele
- Programmazioni di sessioni radioterapiche
- Studi in pazienti con protesi metalliche che creano importanti artefatti sia in RM che in TC
- Particolari programmazioni pre-operatorie
- Studi RM non contributivi
COME SI SVOLGE L'ESAME
L'esame può seguire iter differenti a seconda del tipo di studio o indicazione clinica. Il paziente può essere seduto lateralmente sul tavolo radiografico oppure disteso in posizione prona sul lettino TC. Il radiologo esegue un reperaggio con immagini ed inserisce un ago spinale nella parte centrale della colonna (può essere utilizzata o meno una piccola anestesia locale). Una volta raggiunto lo spazio subaracnoideo viene iniettato il liquido di contrasto, in seguito vengono effettuate le acquisizioni per immagini.

Alla fine della procedura il paziente deve mantenere la posizione supina per alcune ore, senza effettuare sforzi o attività fisica. E' possibile accusare cefalee per alcune ore.
Bibliografia
1.ACR–ASNR–SPR PRACTICE PARAMETER FOR THE PERFORMANCE OF MYELOGRAPHY AND CISTERNOGRAPHY
2.Radiology Research and Practice
Volume 2011 (2011), Article ID 329017 - Myelography in the Age of MRI: Why We Do It, and How We Do It
Christoph Ozdoba, Jan Gralla, Alexander Rieke, Ralph Binggeli, and Gerhard Schroth
I risultati dell'esame saranno disponibili s supporti differenti come indicato nella pagina dedicata.
Per avere informazioni sulle disponibilità e i costi delle prestazioni è possibile contattare il 3442581648 (Numero PosteMobile Italiano) o usare il form di contatto.